ایملپنت دندان 12/600!

با فرصت محدود میتونید دندون هاتون رو فقط با 12/600 ایمپلنت کنید . دندون سنتر با 3 شعبه فعال در تهران خدمات کامل و جامعی با به روزترین تجهیزات دندانپزشکی را به شما ارائه میدهد. علاوه بر قیمت فوق العاده با فرصت محدود ، شرایط اقساط 4 ماهه برای شما عزیزان قرار داده شده

خدمات سریع و تضمینی

قیمت اقتصادی و کیفیت عالی

در دندون سنتر هم اقساط هم بدون سود خدمات دریافت کنید با چک 5 ماهه الی 6 ماهه .

ایمپلنت

جای خالی دندان شما را با کاشت یک دندان شبیه دندان‌های طبیعی، ایمپلنت می‌کنیم.

کامپوزیت

با استفاده از خمیر مخصوص، بدون نیاز به تراش دندان، دندان‌های شما را کامپوزیت می‌کنیم.

لمینت

دندان‌های ترک‌خورده، نامرتب و فاصله‌دار شما را با روکش‌های نازک سرامیکی، لمینت می‌کنیم.

بلیچینگ

زردی و لکه‌‌ی دندان‌های شما را با بلیچینگ‌کردن یا همان سفیدسازی دندان، از بین می‌بریم.

emergency-mobile

چرا دندون سنتر ؟

کف قیمت ایران !

تو دندون سنتر میتویند با قیمت های فوق العاده خدمات درمانی دریافت کنید . از ایمپلنت و کامپوزیت تا بلیچینگ با کمترین قیمت ممکن با حفظ کیفیت

دریافت مشاوره

شرایط اقساط

شرایط اقساط ؟

Lorem شرایط اقساط ویژه برای همه گروه های سنی ، ویژه درمانی ها و زیبایی ها .

50 درصد مبلغ پیش پرداخت

4 الی 5 ماهه با 1 الی 2 فقره چک

بدون نیاز به ضامن

expert-in-dental-mobile.png

نظرات

نظرات شما عزیزان

user-avatar-1

آقای اسدی

"واقعا از خدمات دندون سنتر راضی بودم. محیط آرام و کارکنان حرفه‌ای داشتن که منو خیلی راحت کردن. درمان من سریع و بدون درد بود. حتما به دوستانم توصیه میکنم."

user-avatar-2

خانم رضایی

"تجربه‌ای فوق‌العاده از دندانپزشکی داشتم. پرسنل مهربان و دقت بالا در انجام خدمات. دستگاه‌ها و تجهیزات جدید بودن و واقعا احساس راحتی کردم."

user-avatar-3

آقای موردی

"دندون سنتر بهترین خدمات رو ارائه میده. من چند بار برای درمان ریشه اومدم و همیشه با دقت و بدون هیچ مشکلی کارم انجام شد. مطمئنم که همیشه همینطور حرفه‌ای خواهند موند."

user-avatar-3

محمد علیزاده

"از وقتی به دندون سنتر مراجعه کردم، دیگه هیچ مشکلی با دندونام ندارم. به همه توصیه میکنم اینجا رو امتحان کنن. درمان‌ها سریع و با کیفیت عالی انجام میشه."

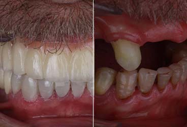
نمونه ها

نتایج درخشان ایمپلنت

ایمپلنت

کیفیت درجه 1 محصولات

جای خالی دندان شما را با کاشت یک دندان شبیه دندان‌های طبیعی، ایمپلنت می‌کنیم.

ایمپلنت

کیفیت درجه 1 محصولات

جای خالی دندان شما را با کاشت یک دندان شبیه دندان‌های طبیعی، ایمپلنت می‌کنیم.

کامپوزیت

سفیدی دندان

کامپوزیت دندان یک ماده همرنگ دندان است که برای ترمیم ترک‌ها، پوسیدگی‌ها یا تغییر رنگ دندان‌ها استفاده می‌شود و ظاهری طبیعی به دندان‌ها می‌بخشد.

ایمپلنت

کیفیت درجه 1 محصولات

جای خالی دندان شما را با کاشت یک دندان شبیه دندان‌های طبیعی، ایمپلنت می‌کنیم.

map-image
home-icon

آدرس

تهران با 3 شعبه فعال

تماس مستقیم با کارشناسان

02182803440

جهت مشاوره با شماره بالا تماس بگیرید